
Animal: Dog, cairn terrier, 8 years, neutered male
Diagnosis: Eye: Canine orbital meningioma with infiltration into the subretinal space and with chondroid and osseous metaplasia
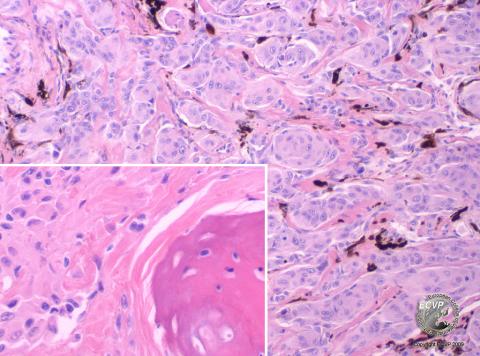
Description: Cross section through the posterior pole of the eye globe. Between the extraocular muscles and the optic nerve and extending through the sclera into the choroid of the subretinal space is a non-demarcated, non-encapsulated, expansile mass. The neoplasm is composed of small clusters of pleomorphic cells with indistinct cell borders, eosinophilic cytoplasm and anisokaryotic, centrally located nuclei with up to 2 nucleoli. There are up to two mitoses per high power field. In the extraocular parts of the neoplasm are some clusters of chondroid and osseuos metaplasia.
Comments: Meningioma arising from the optic nerve is a rare neoplasm. The neoplastic meninges from the optic nerve invaded into the adipose and muscular tissue of the orbit and extended extraorbitally.
Picture by: Josephine Braun, Department of Veterinary Pathology, Freie Universitaet Berlin, Germany
Author: Josephine Braun, Department of Veterinary Pathology, Freie Universitaet Berlin, Germany