Signalment: 10-y-old female dog, unspecified breed. Perendoscopic incisional biopsies from a mass in her right nasal cavity.
MD: Intranasal mast cell tumor.
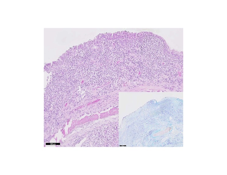
Comment: nasal lamina propria is expanded by a densely cellular, unencapsulated neoplastic growth composed of sheets of neoplastic round cells supported by a scant fibrovascular stroma. Neoplastic cells have a moderate amount of finely granulated cytoplasm and round nuclei with finely stippled chromatin. Anisocytosis and anisokaryosis are mild. Mitotic figures are present at a rate of 0 per 2.37 mm2 (equivalent to 10 high power (400X) fields). There are moderate numbers of eosinophils admixed with the neoplastic population. There are areas of suspected epitheliotropism and bone remodelling of the nasal turbinates. A diagnosis of nasal mast cell tumor was achieved by histological evaluation and it was confirmed by GIEMSA histochemical stain (see inset). Intranasal mast cell tumors have been reported in dogs (1, 2), with too few cases described so far to further speculate on a proper epidemiology. Clinical signs in these patients overlapped with those seen in other intranasal diseases, including intermittent and progressive unilateral epistaxis, mucopurulent nasal discharge, facial swelling, sneezing, difficulty breathing, coughing and vomiting. Nasal mast cell tumors represent the second most common nasal round cell neoplasm arising in the nasal cavity and are associated with an aggressive behaviour, with local and distant disease progression. Metastases to regional lymph nodes, kidneys, lungs, adrenal glands, thyroid gland, tonsils, heart, and omentum have been described. Staging of the patient is warranted.
References:
1. Vet Pathol. 2022 Nov;59(6):915-921. doi: 10.1177/03009858221109100. Epub 2022 Jul 5. Intranasal mast cell tumors: Clinical, immunohistochemical, and molecular features in 20 dogs. Eileen Larsen 1, Allison M Watson 1, Juan F Muñoz Gutiérrez 1
2. Can Vet J. 2017 Aug;58(8):851–854. Intranasal mast cell tumor in the dog: A case series. Alison Khoo, Amy Lane, Ken Wyatt
Contributor: Vittoria Castiglioni, Idexx Laboratories Italia; vittoria-castiglioni@idexx.com
