
Diagnosis: Pyogranulomatosis by A. fumigatus, Aspergillosis
Detailed information.
History: A mature dove was sent for necropsy coming from a dovecot where animals presented dysnea and gasping as main clinical symptoms . Anorexia, progressive emaciation and increased thirst were identified by the keeper. Morbidity was about 50% of the animals and mortality was 20%.The doves were neither treated nor deparasited before.
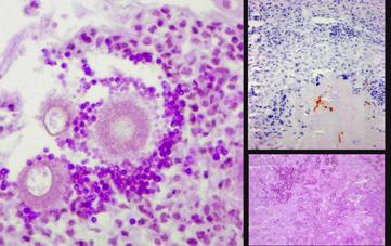
Pathological findings: In the necropsythere was loss of muscular mass and small yellow nodules in the lung. Thoracic air sacs presented yellow plaques.
Microscopic examination: Revealed a pyogranulomatous inflammation in lungs with tipical septae and branching hyphae, conidiophora and a caseous material in the center of the granulomas. Hyphae and spores were positive to the PAS stain, and using a policlonal antibodie against Aspergillus fumigatus a positive reaction was clearly identified using a immunohistochemistry procedure.
Diagnosis: Pyogranulomatosis by A. fumigates, Aspergillosis
Authors: José María Nieto and Mónica López-Peña. Veterinary Faculty of Lugo. Spain