
Animal: 3-year-old, female, budgerigar (Melopsittacus undulatus)
Organ: Skin
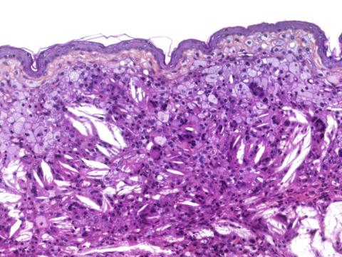
History: 2 cm cutaneous mass on the ventral abdominal skin. Similar lesions have been observed in other birds.
Histopathological findings: There is diffuse infiltration of the dermis by foamy macrophages and multinucleated giant cells, admixed with numerous cholesterol clefts.
Diagnosis: Cutaneous xanthoma
Comment: Xanthomas are common in psittacines (especially cockatiels and female budgerigars, as in this case). These inflammatory pseudotumors are typically composed of foamy macrophages, multinucleated giant cells and cholesterol clefts. They most commonly occur on the skin but can also be found in internal organs and in the bone marrow. Although the precise pathogenesis is still unknown, a disturbance in lipid metabolism is suspected.
Reference: Pathology of Pet and Aviary Birds, Schmidt RE, Reavill DR, Phalen DN, 2nd edition, 2015, Wiley Publishing.
Photo by: Edouard REYES-GOMEZ, Unité d’Histologie et d’Anatomie Pathologique, Ecole Nationale Vétérinaire d’Alfort, FRANCE
Author: Edouard REYES-GOMEZ, Unité d’Histologie et d’Anatomie Pathologique, Ecole Nationale Vétérinaire d’Alfort, France